Already four days into Pash’s volunteering experience and she has done and learned so much!
Today it was all about turtle spas, duck dives and surreal lightening!
Day 4
Day 4 started with a spa day for Azura and Disco, who is one of the juvenile turtles. At sea, turtle are kept spick and span by pilot fish – juvenile fish that accompany the turtles on their epic journeys across oceans. This is a symbiotic relationship. The fish are afforded a safe host and can eat scraps the turtle drops (turtles can be really messy eaters!), and turtle has its skin and shell cleaned of algae and so on. In the tanks however algae can grow on the shell, flippers and head, and they need a bit of a scrub now and then. Azura was first, she was fairly green-looking. We took her out of her tank and got a scrubbing brush and a tooth brush to make a start. She is fairly used to this process, so didn’t protest too much. Then we removed Disco and she also had a bit of scrub.
Disco is probably around 10 to 15 years old, very much a juvenile in turtle terms. Disco is a very floaty turtle. Her shell has distended significantly where air has leaked into the space between her skin and her shell. It’s hard to say exactly where the air is coming from, but it is suspected that where she was caught in a net she would have struggled and possibly damaged internal organs in the process, like her lungs. Minnie has in the past drained the air between her shell and skin, only for it to re-inflate. Lung injuries do normally heal over time, but everything with turtles take a very long time, so it could be weeks or months until this is healed sufficiently, after which the air can start to dissipate. As it is, Disco cannot dive at all at the moment, but is doing well with swimming, and at feeding time we try to get her to swim towards food to exercise her remaining flipper.
Back to the spa treatment. It’s hard to tell whether the turtles like this process or not. Thy certainly aren’t thrilled with the prospect of being handled, but sometimes when scrubbing them they can calm down and I could imagine it doesn’t feel too unpleasant being scrubbed of all the algae. But maybe that’s just me trying to anthropomorphize them…
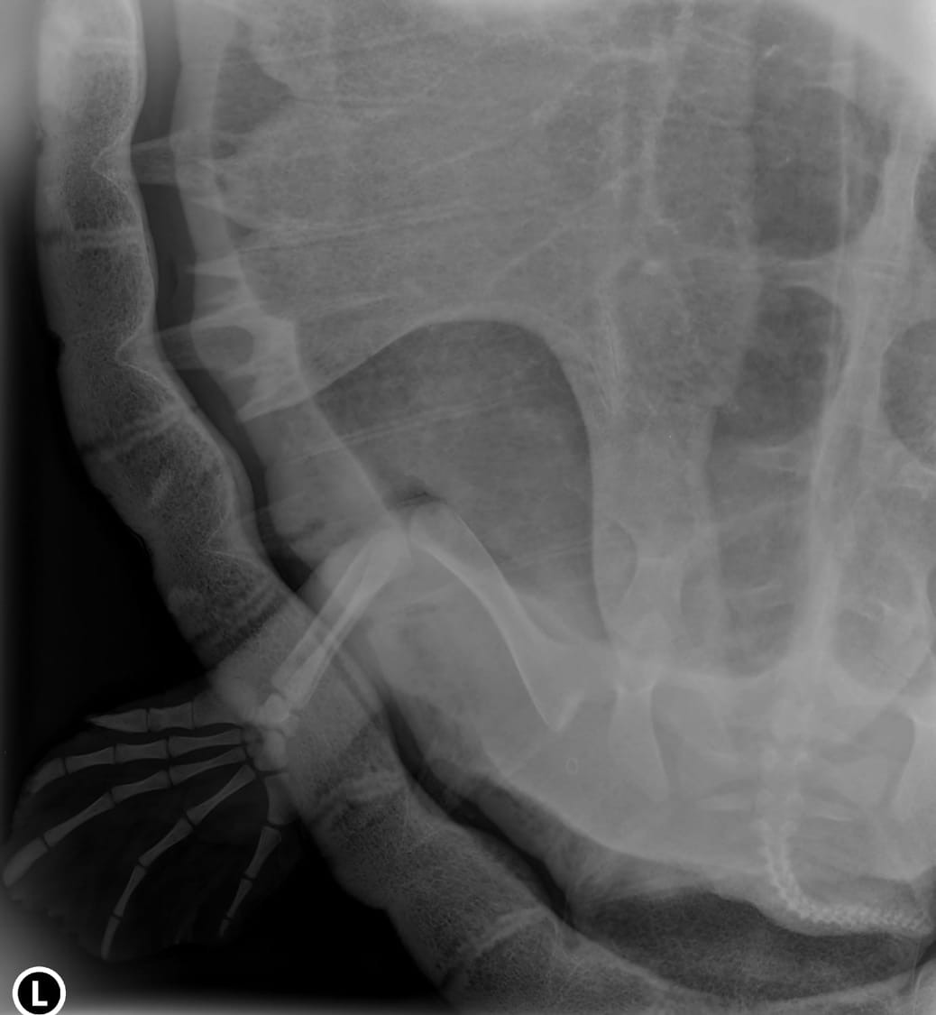
Spa done, there was some moving of turtles into different tanks to be done so cleaning of other tanks could be undertaken. By this point my turtle wrangling skills have improved, and I’m also able to lift larger, heavier turtles. Next was meds, and three of the turtles were being treated with anti-biotics for both skin and internal systemic infections. Some turtle can be injected whilst they are floating at the surface, others need to be removed from the tank, as they make it physically impossible for you to get anywhere near them with a needle! But that was quickly achieved and meant we could perform x-rays on the new-ish arrival Honu.
Honu arrived with a flipper already amputated from being caught in a ghost net. Not yet an adult, but not tiny, it took 6 x-rays to cover both sides of her, top to bottom. Minnie was looking specifically at where her flipper had amputated to see what lay beneath the surface. As the flipper was amputated by a net, and not surgically, she wanted to see how the bone looked and whether surgery would be required. The humerus was clearly visible on the x-ray, with a break where the remainder of the flipper was amputated. But from the x-ray Minnie could tell there was sufficient flesh over the end of the bone to avoid surgery at this point. Serial x-rays will be done in the coming weeks to see how this continues to heal.
Buoyed up by the previous days results of the sea swim with Azura we decided to give her another afternoon out. The outcome wasn’t quite the same, she was not playing ball at all and refused to swim or dive. Maybe two days on the trot was too much. Back into her tank and fed, she was happier.

Turtle stuff all finished for the day, and Minnie and I headed to the beach for some duck dive practice. Where we would normally enter the water on one side of the island was pretty rough due to an incoming storm and I wanted calm conditions for this. So we took a walk over to the other side of the island. The lagoon here was protected from the storm by the island itself so we made our way in. With the storm upon us, it actually felt warmer in the sea than out! We did about forty-five minutes to an hour on duck dives whilst watching lightning in the distance – a pretty surreal experience. The storm wasn’t letting up, so once we were done with duck dives, we called it a day.
Day 5: Read Day 5 HERE
Missed Day 3? Read it HERE
If you would like to donate to the Olive Ridley Project, you can do so HERE
Want to learn to freedive with the best? Learn to freedive with Go Freediving!
Go Freediving is the longest established, most experienced and friendliest freediving course provider in the UK, led by world class freediving instructor trainer Emma Farrell, and her team of personally trained instructors. No other course provider has such a good instructor to student ratio, safety record and personal touch.
Whether you’re a beginner dipping your toes into the world of freediving, a seasoned pro looking to turn professional, or simply a freediver of any level who wants the best freediving holiday in the world, we’re here for you!
Also check out our online guide, The Beginners Guide to Freediving by clicking here!
Keep in touch with everything Freediving
Subscribe to our mailing list for weekly newsletters with exclusive articles, news, films, offers and more!
And check out You Tube!








